병원을 다니다 보면, 나에게 필요한 치료가 무엇인지,
또 치료 과정은 잘 이루어지고 있는지 궁금할 때가 많습니다.
치아가 불편한 것만으로도 큰 스트레스로 작용할 텐데,
환자 스스로 발벗고 나서서 치과치료에 대해 알아 봐야 한다는 점은
큰 부담으로 다가올 것입니다.
그래서 저는, 제가 나고 자란 동네에 치과를 개원하게 되면서 다짐했습니다.
‘환자분들이 좋은 치료를 받기 위해 멀리 있는 치과 여러 군데를
찾아다니실 필요가 없게 해드려 몸과 마음의 부담을 덜어드리자.’
저희 서울리브치과는 ‘Live - 살다, 거주하다’ 라는 뜻처럼
여러분이 정착할 수 있는 편안한 인생치과가 되겠습니다.
저희 치과는 서울대학교 출신 의료진이
전문적이고 안전한 치료를 할 것을 약속 드리겠습니다.
특히, 치과치료가 두렵거나 불편하신 분들도 편안한 마음으로
내원하실 수 있도록 차별화된 통증 완화 시스템을 제공하겠습니다.
마포구 출신 치과의사로서 마포구 주민 여러분과 함께하며,
이 곳에서 어린 시절 느꼈던 ‘안락함’ 의 경험을
환자분들께도 선물해 드리겠습니다.

서울리브치과에선 수면마취를 이용하여
환자분의 불편을 최소화하고, 보다 빠르고 정밀하게
임플란트 수술을 진행하고 있습니다.
마포구에서 평생을 자라온 만큼
이제는 지역 주민들의 구강건강 주치의가 되어
정직하고 성실하게 건강을 돌보겠습니다.
서울리브치과는 정착할 수 있는
편안한 '인생치과'가 되어
여러분의 행복한 삶을 응원하겠습니다.
임플란트와 같은 보철 치료도 필요하지만, 본래의 치아가
가진 기능과 소중함은 무엇과도 비교할 수 없습니다.
양심적인 진단으로 꼭 필요한 치료만 시행하겠습니다.
환자분들께서 불편함을 느끼시지 않도록
통증 완화 시스템뿐만 아니라 의식하진정 장비까지 갖추며
최선을 다해 치료해 드리겠습니다.
서울리브치과는 과잉 진료를 지양하고 있습니다.
환자 상태에 따른 최적의 진료로 더 나은 치료 솔루션을 위해
끊임없이 연구하고 투자하겠습니다.
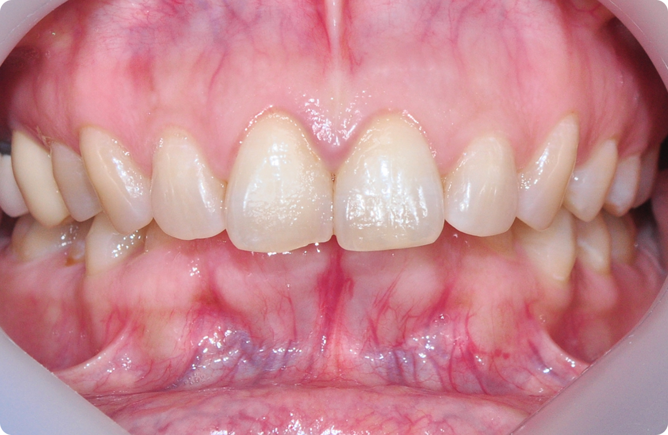
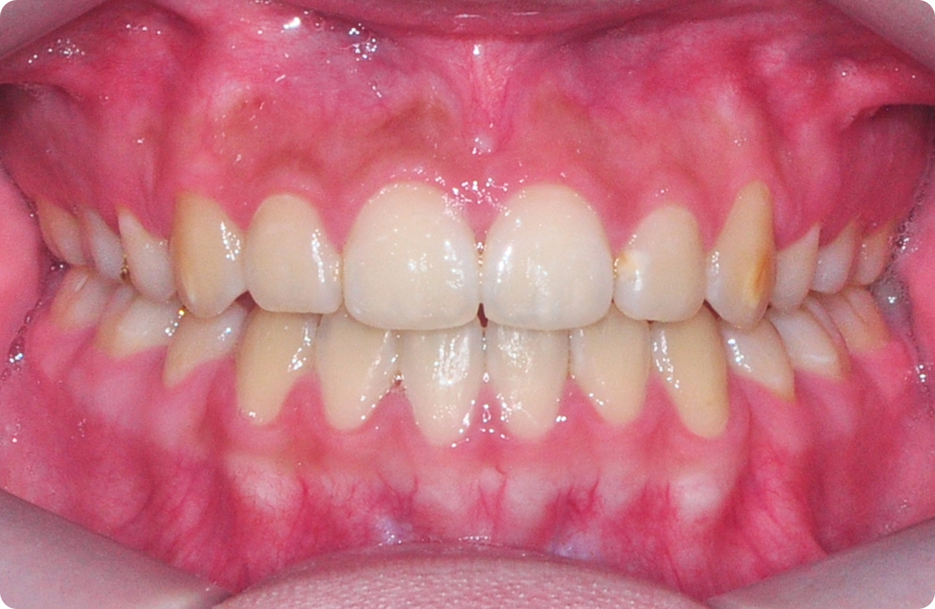
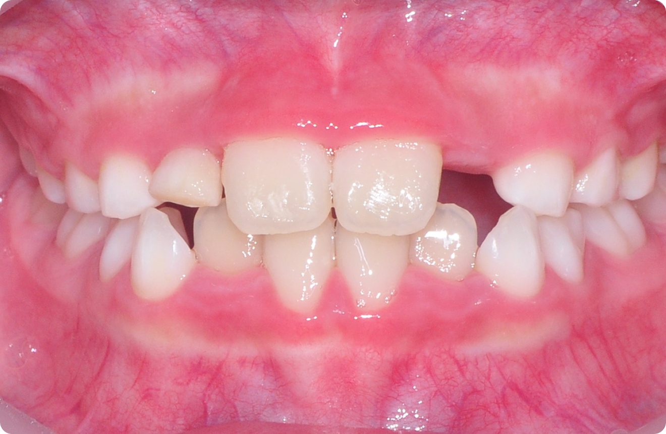
치아가 고르지 않거나 심한 변색, 부분적으로 파손된 경우
심미보철 치료를 통하여 자연스럽고 심미적인 치아로
형태 복원, 기능 회복이 가능합니다.
치아 삭제 없이 표면에 유사한 초슬림 보철을 부착하여, 본연의 건강함을 지키며 색과 모양을 개선합니다.
단순히 가지런한 치열을 넘어 잇몸 라인과 입술의 조화까지 분석하여 당신에게 가장 이상적인 미소를 디자인합니다.
정밀 진단 및 상담
1:1 디자인 계획
맞춤 보철물 제작
초밀착 고정 마무리
치아 삭제량부터 복구 가능성까지, 기술의 차이가 결과의 차이를 만듭니다.
3D 스캔의 정밀함과 디지털 디자인의 섬세함으로
개개인의 미세한 구강 구조까지 깊이 있게 분석하며,
데이터 기반의 맞춤 솔루션으로 완벽에 가까운 오차율을 구현해
당신이 꿈꾸던 가장 자연스럽고 눈부신 미소를 완성합니다.
무삭제 라미네이트
자연치아를 그대로 건강하게 보존하고
올세라믹
치아를 정밀하게 삭제한 뒤 투명도 높은
지르코니아
인체 친화적 고강도 소재로 어금니까지 가능하며
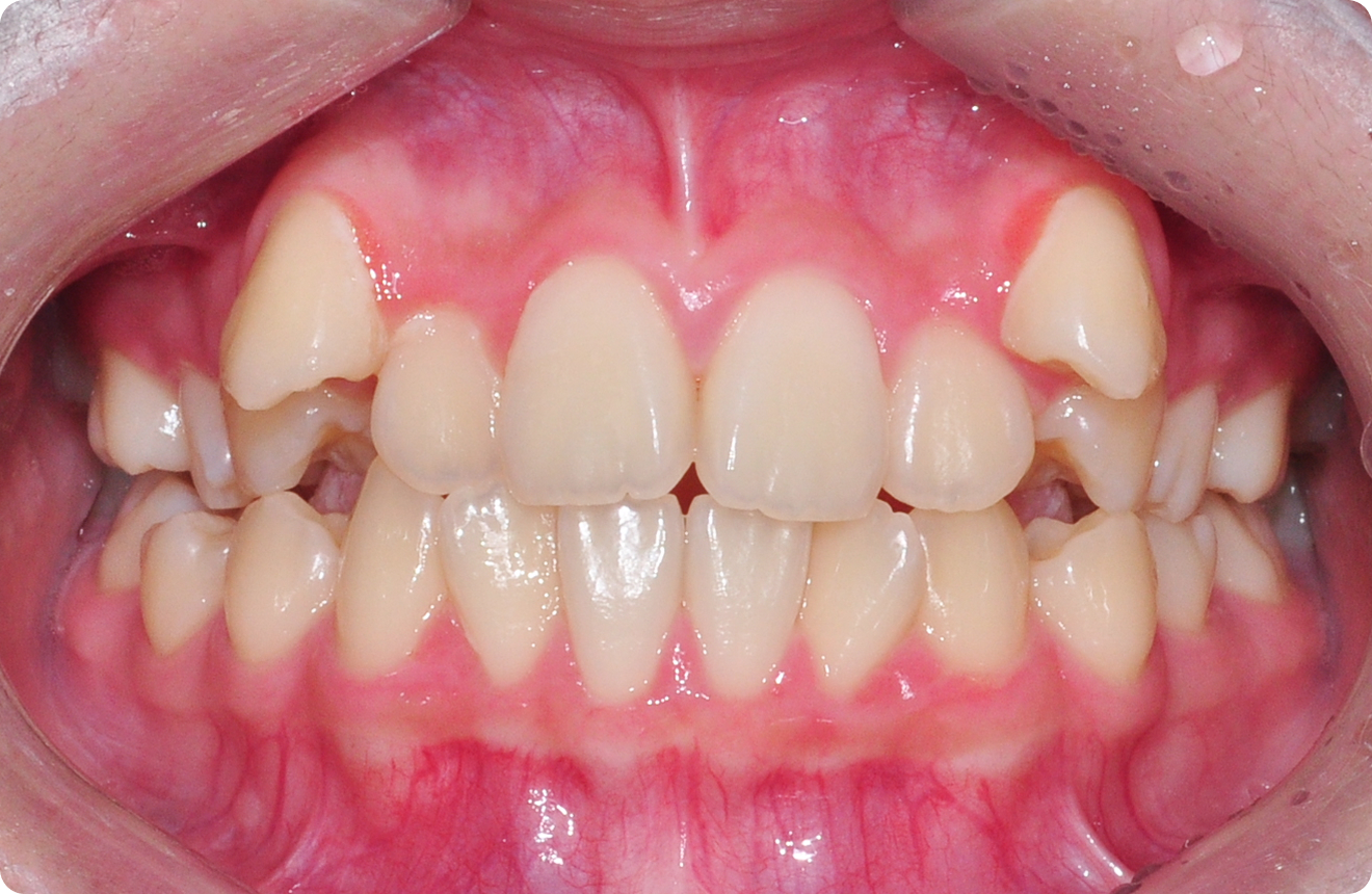
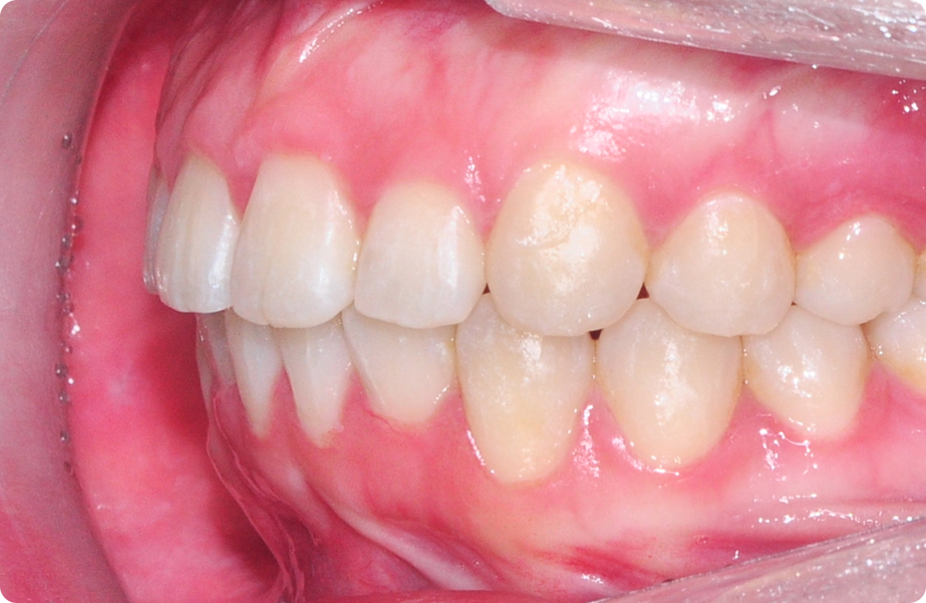
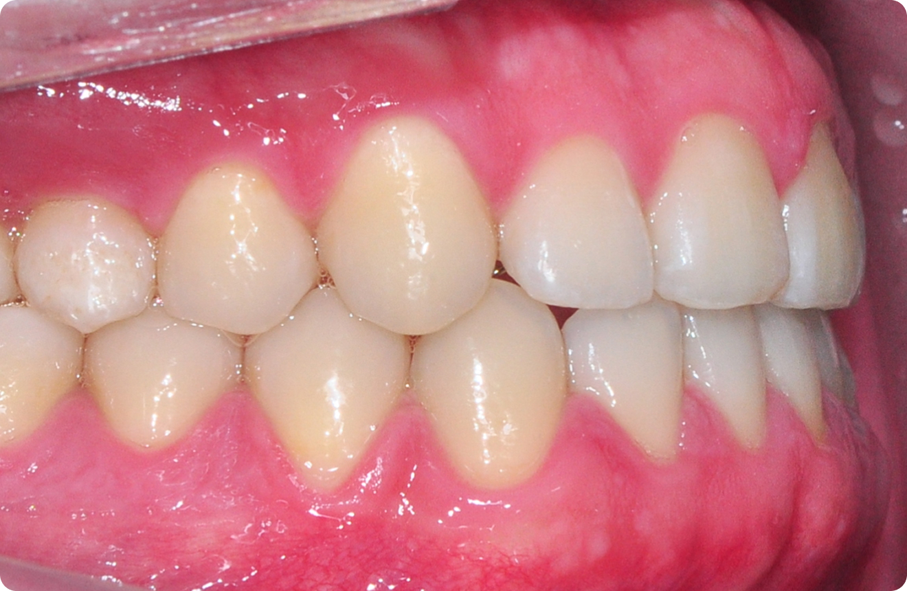
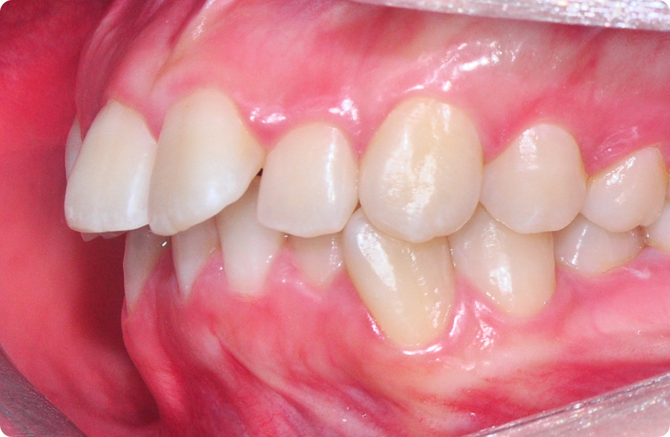
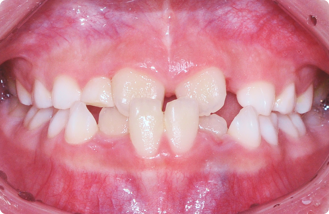
처음 시작하는 교정이라도 안심할 수 있도록,
서울리브치과의 정밀 진단을 통해 최적의 맞춤 교정치료 계획을 찾아드립니다.
미세한 각도 조절이 만드는 심미적인 완성도, 서울리브치과는 타협하지 않고 바르게 교정합니다.
모든 치료 결과는 개인에 따라 차이가 있을 수 있으며, 부작용이 발생할 수 있습니다.
본 사진은 동일 조건에서 촬영되었으며, 환자 본인의 동의를 얻어 게재되었습니다.
서울리브치과는 의료법을 준수하며, 아래 케이스는 실제 환자의 동의를 얻은 사례입니다.
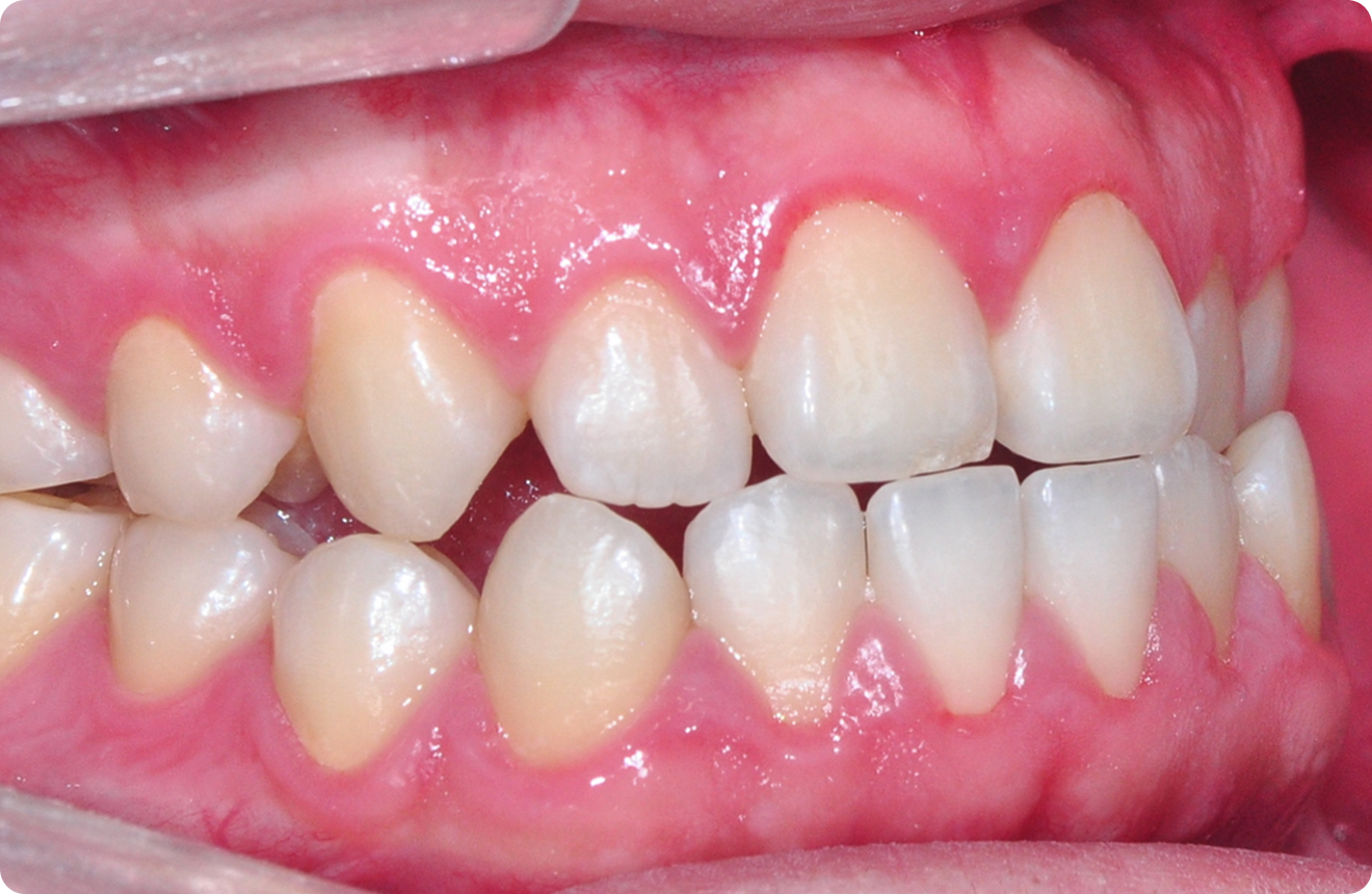
버튼을 움직여 변화를 확인해 주세요.
버튼을 움직여 변화를 확인해 주세요.
서울리브치과는 진료를 기다리시는 순간부터 마치는 순간까지 편안한 환경을 제공할 수 있도록 노력하겠습니다.
서울시 마포구 월드컵로 200 SJ라벨라 3층
초역세권 편리한 교통, 멀리서도 편하게 찾아오세요.